치료 전후 2 페이지
본문 바로가기
메인메뉴
의료진 소개
첨단 시스템
괴정수석치과 특장점
TO. 소중한 인연
병원둘러보기
치료 전후
괴정수석치과 이야기
진료안내
전체메뉴
의료진 소개
첨단 시스템
괴정수석치과 특장점
TO. 소중한 인연
병원둘러보기
치료 전후
괴정수석치과 이야기
진료안내
메인메뉴
의료진 소개
첨단 시스템
괴정수석치과 특장점
TO. 소중한 인연
병원둘러보기
치료 전후
괴정수석치과 이야기
진료안내
회원가입
로그인
home
치료 전후
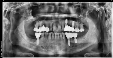
치주염(풍치) 치아 발치 후 임플란트
환자분은 풍치(치주염)으로 인하여 치아 흔들림과 통증으로 내원하셨습니다. 이미 어금니는 심하게 흔들리고 있어 살리지 못한 상태가 되었습니다. 뿌리 끝 부분 넘어서까지 뼈가 녹아 내렸고, 염증도 심한 상태였답니다. 염증이 사라지고 뼈가 차오르기까지 기다린 후 임플란트 . . .
작성일
2025-08-28
처음
1
페이지
열린
2
페이지
검색
검색대상
제목
내용
제목+내용
글쓴이
글쓴이(코)
검색어
필수
검색
닫기
네이버예약
블로그
인스타그램
빠른상담
TOP
네이버 예약
블로그
인스타그램
네이버 예약
블로그
인스타그램
상호명
괴정수석치과의원
주소
부산광역시 사하구 낙동대로 230 수민빌딩 3층 301호
대표자
박 준
사업자등록번호
397-94-01746
Copyright Goejeong Sooseok dental clinic. all right reserved. Designed by
Firsttouch Company
본 사이트의 모든 수집을 엄격히 금합니다. 무단 수집 시 법적 처벌을 받을 수 있습니다.